義歯・入れ歯
保険の範囲で入れ歯を作るように心掛けています

当院ではできるだけ保険の範囲で入れ歯を作るように心掛けています。
丁寧に基本に忠実に治療すれば良い入れ歯を作る事ができると考えているからです。
しかし長年従来の入れ歯を使っていてどうしても我慢できない場合、ぜひ相談してください。
たとえば保険外でも入れ歯の金具が見た目が悪い、金具が歯をしめつけるといった場合、ノンクラスプデンチャーや金属床、インプラントオーバーデンチャーなどがあります。
噛み合わせが強く、割れてしまう、厚みが気になって、違和感があったり、喋りづらいという方は丈夫で違和感の少ない入れ歯も作ることができます。
また顎の骨がやせていてどんな総入れ歯を入れても安定しない場合、インプラント(人工歯根)を2~4本埋め込みそれに磁石をつけて安定化させる事もできます。
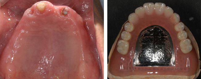
金属床義歯
義歯は咬む力を柔らかい粘膜が支えるため、力がかかった箇所が沈み込み、”傾く外れる、痛む”などが起こります。
上の総義歯は上顎全体を覆う形で比較的安定させられます。
また、保険外の金属床はかなり薄くできるため不快感をやわらげることができます。





