審美歯科
審美歯科って?

審美歯科とは美しさに焦点をあてた歯科治療のことを指します。従って歯並びを治す矯正歯科も大きく考えれば審美歯科に当てはまりますが、一般的に呼ばれている審美歯科とは、 歯を白くしたい ・ 歯並びを美しくしたい ・ 詰め物や被せ物をより自然に見せたい という要望に対しての治療を審美歯科と呼びます。
美しさだけを強調されがちですが、修復する場合、第一に機能面を、そしてより天然歯に近い構造を持った修復物で治療します。
これらの治療は基本的に自費診療になります。保険治療で使用する詰め物や被せ物に比べて審美的・機能的にも向上する材料などを使用します。数年前に保険治療で使用した金属の詰め物や時間の経過によって変色してしまったプラスチック製の被せ物が変色した為に、心理的コンプレックスをかかえている方もいらっしゃると思います。
保険診療の際に使用する材料と比較して耐久性の向上も望めます。
セラミック修復
オールセラミッククラウン・インレー
特徴
- きれい
- 光の透過性があり本物の歯と区別しにくい
- 強度もあり何年経ってもきれいで極めて劣化しにくい
- プラーク(歯垢)が付きにくく精密なため再び 虫歯になりにくい
- 金属アレルギーのもととなる金属を一切使用していな い(メタルフリー)
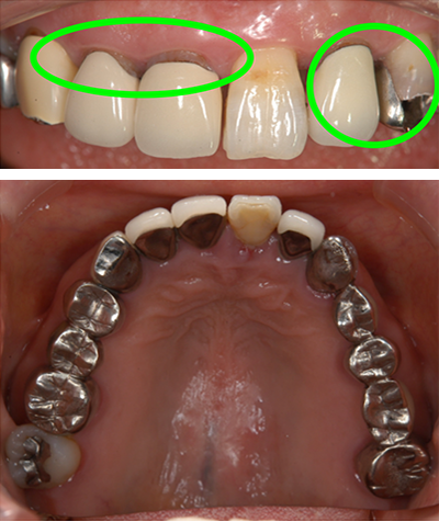
保険治療と自費治療(セラミック修復)
保険の修復物

この様に保険治療の被せ物は歯茎と被せ物の境目に隙間(不適合)があり、そこから再び虫歯になるリスクが高いです。
審美的にも銀が見える可能性があります。
セラミック修復へ

自費の被せ物は保険の被せ物とは違い、精密な型を取るために歯と歯茎の境目に圧排糸を使用し、シリコンラバーを用いて型をとります。
そのため精度の高い模型ができ、適合の良い被せ物が出来てきます。

治療の流れ

1.虫歯を取っていく
虫歯の大きさによって治療は異なる

2.冠を被せるための土台を作る
・ファイバーコア(土台)グラスファイバー使用
・仮歯用の型をとる

3.仮歯を入れて様子を見る
一度、仮歯を入れて歯茎や歯の状態の様子を見ます

4.型取り
圧排糸、シリコンラバーを用いて精密な型取りをする

5.冠を被せていく




