インプラント
インプラントとは

人は永久歯を失うと二度と生え変わることはありません。
そのため今までは入れ歯などを用いるしかその部分を補う方法はありませんでした。
しかし入れ歯は硬いものがうまく噛めない、発音がおかしい、長く使っている間に合わなくなってガタついてきたりする場合があります。
それはしっかりとした土台(歯根)が無いからです。
また事故などで若くして歯を失ってしまった場合、審美的にもインプラントは効果的な治療法です。
治療例
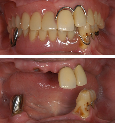
治療前

50代から歯周病や虫歯で奥歯を 抜き歯をだんだん失っていった。
咬めない、食事を楽しめない 今後も不安・・・・ が来院時の主訴です。
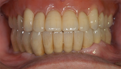
治療後

上は総義歯、下はインプラントブリッジによって 咬み合わせを回復しています。
不安がなくなり食べる楽しさと笑顔を回復しました。
審査と治療計画

インプラント治療に必要な審査を行いインプラント治療が可能かどうかを診断します。
その後、治療計画を立てます。
治療が高度の場合は他の医療機関を紹介させていただきます。
1.フィクスチャー埋入の手術

歯の根に相当する部分(フィクスチャー)を顎の骨に埋入する手術を行います。
局所麻酔を用いますので安心して手術を受けることができます。
2.治療期間
この後、骨とフィクスチャーがしっかり結合されるまでの治癒期間を設けます。(3~6ヵ月)
※治療期間は部位や骨の質などにより個人差があります。また、この期間は必要に応じて仮の歯を入れることもあります。
3.アバットメントの連結
人工歯の支台となる部品(アバットメント)をフィクスチャーに連結します。
※この時、簡単な手術を行う場合もあります。
4.人工歯の装着

インプラントを含めたお口の中全体の印象採得(型を取る)を行います。
その型に従い人工歯を作成します。
その後、アバットメントの上に人工歯を装着して完成です。
5.メンテナンス
インプラント治療の終了後、インプラントを長持ちさせるには適切なホームケアと定期的な検診が不可欠です。指導に基づいた正しい歯磨きを心がけてください。また、半年に一度、インプラントの状態を良好に保つために定期健診を受診していただきます。
一般的な処置の実際





