矯正歯科

矯正治療は歯並びの不正や、かみ合わせを治療しますが、見かけをきれいにするだけでなく、 成長期の子供であれば、適正な顎顔面の成長発育を促し、成人であれば、咬合崩壊の予防、改善を促す治療です。
歯を中心としたかみ合わせ、発音、咀嚼器官、機能の回復、顔の形態、コンプレックス等、全身の健康に影響を及ぼす治療分野でもあります。
咬み合わせの改善
良いかみ合わせは上下の歯が単に噛み合うだけでなく、顎の関節と調和して機能し、全身のバランスもとれている状態のことです。 かみ合わせに問題が生ずると、歯に悪い影響が現れるだけでなく、顔の歪み、顎関節炎などによる開口障害、偏頭痛、肩こり、耳鳴りなどの影響がでる場合もあります。



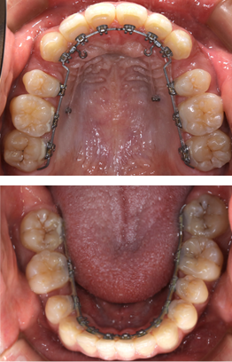
見えない矯正装置(舌側矯正)

当院では、見えない矯正(舌側矯正)を主に行なっております。メリットは矯正装置を歯の裏側に装着することで外から目に触れないということです。
またスポーツをする上でも口周辺にコンタクトがあった場合に口腔内の粘膜に外傷を負うリスクが減る利点があります。
矯正治療の相談・診断は無料で行なっています。お気軽にご相談ください。
マウスピース矯正(インビザライン)

マウスピース矯正(インビザライン)は、透明に近いマウスピース型の矯正装置(アライナー)を歯に装着して歯並びを矯正する、画期的な矯正方法です。 一人ひとりの歯に合わせて作製される矯正装置を装着し、治療の段階に合わせて新しい装置に交換しながら徐々に歯を動かし、歯並びを矯正します。
マウスピース矯正(インビザライン)のメリット
- インビザライン・アライナーは透明で目立たないため、装着していることがわからず、見た目にストレスを感じさせません。
- 取り外しが可能なため、いつでも簡単に歯のお手入れができ、口腔内を健康な状態に保つことができます。
- 3次元治療計画ソフトを通じて治療開始から完了に至るまでの歯の移動を、コンピューター画面上で画像および動画として確認することができます。
- 金属製のワイヤーやブラケットを使用しないため、治療期間中に装置が脱落するなどの緊急性を要することがありません。
マウスピース矯正(インビザライン)の注意点
マウスピースの装着時間を守らないと歯は動きません。 装置が取り外せることは大きなメリットでもありますが、簡単に装置が取り外せるため患者様が責任を持って決められた時間装置を付けなければ治療は進みません。
また、患者様の歯並びや口腔内の状況、希望される治療結果によってはインビザラインで治療できないことがあります。インビザラインのみでの治療に限界がある場合は、ワイヤー等の補助的な装置が必要になることがあります。




